「歯の根が割れているので、抜くしかありません」 他院でそのように告げられた経験はありませんか?確かに、垂直性歯根破折(VRF)は原則として抜歯が必要となる疾患です。しかし、実は「重度の根の先の炎症(根尖性歯周炎)」と非常に見分けがつきにくいケースが多々あります。
根尖性歯周炎であれば、精密な根管治療によって歯を残せる可能性が十分にあります。今回は、抜歯を回避するために不可欠な
「正確な診断」の重要性について、実際の症例を通して解説します。
1. 診断の鍵となる 「垂直性歯周ポケット」
VRFを疑う最大のサインは、特定の箇所だけが極端に深い「垂直性歯周ポケット」の存在です。
-
一般的な歯周病(水平性): 歯の周囲をぐるりと計測しても、全体的にポケットが深くなります。
歯周ポケットの検査票ではどこの部位も5〜8mmの深いポケットを示します。
-
歯根破折(垂直性): 破折した箇所(一点)だけが、10mmを超えるような深い数値を示します。まるで針を刺したようにピンポイントで深いのが特徴です。

2. 【症例解説】40代男性 以前に根管治療をした歯の痛み
患者様は、以前に根管治療を受けた歯の痛みと違和感で 来院されました。
-
初診時所見: 打診痛(叩いた時の痛み)、根元の圧痛 頬側中央に10mmを超える垂直性歯周ポケットを認めました。
-
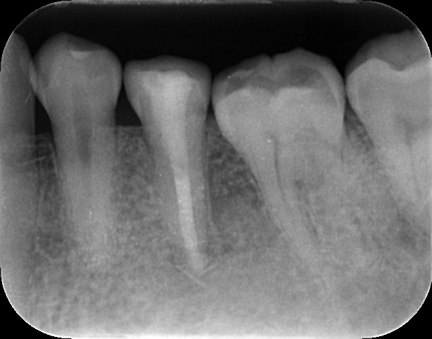
画像診断: レントゲンでは根の周囲に透過像(黒い影)を認め、CTでは根が割れて隙間が空いているようにも見える、非常にVRFの疑いが強い状態でした。


3. 画像や数値だけで「抜歯」を決めつけない
これだけのデータが揃うと、通常は「歯根破折(抜歯)」と診断されがちです。しかし当院が最も大切にしているのは、画像診断やポケット検査だけで決めつけず、最終的にはマイクロスコープを用いた「視診」で破折部位を直接確認することです。
VRFは根の深い場所から発生することが多いため、すべてを目視できるわけではありません。しかし、もし10mmのポケットが「割れ」に起因するなら、視認できる範囲まで亀裂が及んでいるはずです。
今回の症例では、内部を徹底的に精査しても決定的な破折線が確認できなかったため、保存的な根管治療を行いました。
4. 治療の結果:抜歯を回避し 経過は良好
根管治療を終えて3ヶ月経過を観察したところ、10mmあったポケットは消失し、正常値に改善。レントゲン上の影も劇的に回復しました。

現在はセラミッククラウンを装着し、術後1年半が経過しましたが、痛みや違和感もなく、ご自身の歯でしっかりと噛めています。正確な診断さえあれば、救える歯がある。私たちはそう信じて日々の診療にあたっています。
症例の治療詳細・費用・リスクについて
医療広告ガイドラインに基づき、詳細を記載いたします。
治療内容
精密根管治療、支台築造(コア)、セラミッククラウンによる補綴
費用(税込)
-
精密根管治療: 154,000円
-
支台築造: 33,000円
-
セラミッククラウン: 165,000円 ※すべて自由診療となります。
リスク・副作用
-
根管治療により必ずしも痛みが消失するわけではありません。病変の大きさや根の形態により、症状が改善しない場合は外科的歯内療法や抜歯が必要になることがあります。
-
セラミッククラウンは、強い衝撃や過度な噛み合わせの力がかかると、欠けたり割れたりする可能性があります。
-
治療期間中、一時的に痛みや腫れが出ることがあります。