はまだ歯科医院のHPをご覧いただき誠にありがとうございます。
セラミック治療(白い詰め物)が全盛の昨今、患者様からゴールドの詰め物をご希望されることは殆どなくなりましたが歯科の世界でゴールドは今でも最も信頼性の高い医療材料です。
例えば親御様が歯科医師の方の口腔内を拝見すると高い確率でゴールドを使用して治療されています。歯磨きも上手でしょうが幼少期に行ったであろう治療がどれも非常に良い状態で経過しています。
歯科医師の口腔内は意外とセラミックよりゴールドで治療されている場合が多い印象です。
一度むし歯になった歯はむし歯が再発する可能性が非常に高いことがわかっています。
むし歯を再発させない為にはブラッシングから生活習慣全般まで様々な改善点が必要ですが、歯そのものにしてあげることができる予防策としてはいかに精度良く詰めてあげるかにかかっています。
物理的に虫歯菌が入りこめない、隙間のない詰め物をしてあげる事が非常に重要です。
相手は細菌ですので目で見て浮いているような詰め物では全く太刀打ちできません。
その点ゴールド(18K以上)は非常に操作性がよく歯型の細部に至るまで正確に再現することが可能です。
ゴールド自体が非常に高価な金属ですので治療費も高価になってしまいますが何度も虫歯が再発し嫌な思いをするのであれば少しでも再発の可能性が低い材料を選ぶのも選択肢の一つだと思います。
歯でお困りのことがございましたら当院へご相談ください。
ーーーーーーーーーーーーーーーーーーーーーーーーーーーーーーーーーーーーーーーーーーーーーーーーーーーーーーーーー
2026年1月:10年の時を経て、改めてお伝えしたいこと
この記事を書いてからはや10年近くが経過いたしました。以前の自分で書いた文章を読むのは恥ずかしいですが、基本的な考えは変わっていないなと感じました。この間に、当院は「はまだ歯科」から「医療法人社団 I will 初台 はまだ歯科・矯正歯科」へと施設名を変更し、より高度な歯科医療を提供できる体制を整えてまいりました。
この10年間も、私はゴールド修復を専門に学ぶ**「タッカースタディクラブ(R.V. Tucker Study Clubs)」**https://arvtsc-jp.net/
での活動を続けてまいりました。世界基準の研鑽を積み、改めて確信したゴールド修復の素晴らしさは以下の5点に集約されます。
-
優れた適合性と歯周組織の健康:歯と金の境界は適切に扱えばほとんど段差がなく、プラークが付着しにくいため歯周組織の健康に寄与します。
-
天然歯に近い硬さと磨耗性:金の硬さは天然歯に近く、同じように磨り減るため段差を作りにくく、対合歯にも優しい材料です。
-
高い耐久性と破折防止:金は薄くても狭い部位でも破折しにくく、残存歯質の脆弱部位を覆うことで、歯を一体化させて破折の進行を防ぐことができます。
-
精密な形態再現と滑沢性:天然歯の形態をより正確に再現でき、他の材料よりも高いレベルで研磨・仕上げができるため、舌触りや咀嚼時の感覚が自然で快適性が高いです。
-
優れた長期安定性:金は酸化せず歯を変色させません。適切に作られた金修復は、現在一般的な他の修復材料よりも長持ちすることが実証されています。
私自身、審美性を除けばゴールド修復が最も歯の詰め物としては理にかなっている材料であると確信しておりますし、当院の医療理念でもある**「自分の家族に提供したい医療」**の一つであると考えています。
ありがたいことに2026年現在も、熱心にお調べになられた患者様からゴールド修復をして欲しいとご連絡をいただき、改めて後世の歯科界にも残すべき財産であると感じています。
金相場の急激な上昇や金合金の品薄など、ゴールド修復を取り巻く環境は年々厳しくなっていますが、この素晴らしい治療文化を絶やさぬよう、これからも精進してまいります。
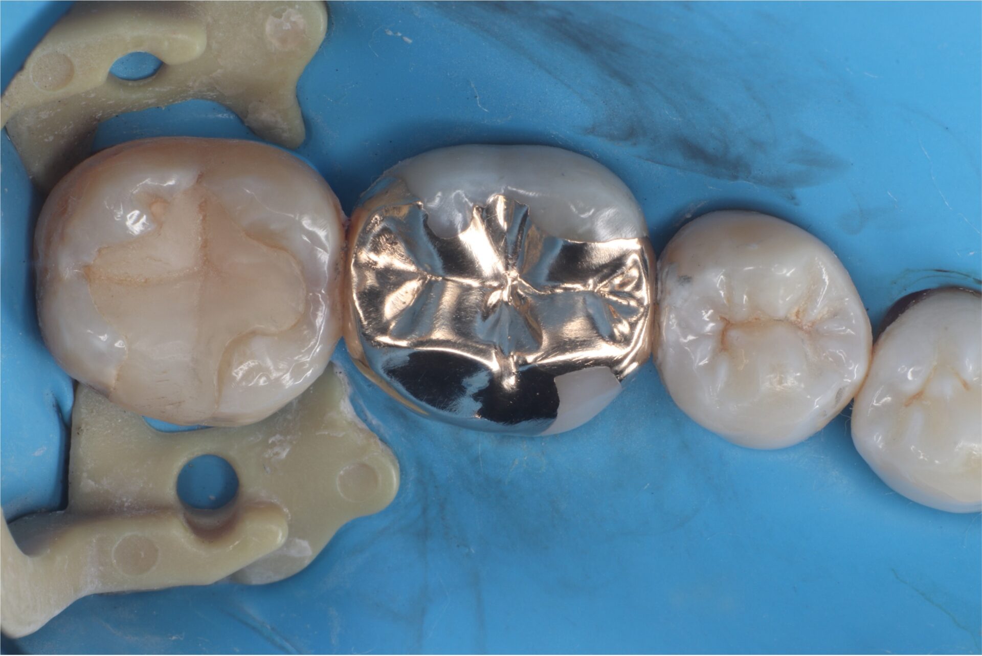
写真は先日の実習で治療させていただいた症例です。
ジルコニアセラミックが装着されていますが中央付近で割れてしまっています。

型取り前

完成したゴールドアンレーの装着前
装着、研磨を終えた最終段階です。歯と修復物との界面は一体化したように段差がありません
2026年1月5日 医療法人社団 I will 初台 はまだ歯科・矯正歯科 院長 濱田 啓一