初台 はまだ歯科・矯正歯科

24時間WEB受付診療予約はこちら 03-6300-6166診療時間内でお受けできます CALL
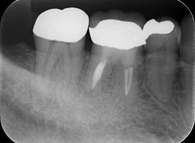
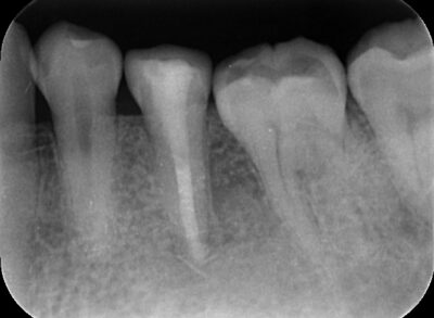
  • 精密根管治療
    5000
    症例以上
  • 歯髄温存治療
    200
    症例以上

※いずれも2014.05/01~
2023.08/31の累計症例数

世界基準の
先端治療を
提供する
SCROLL

矯正歯科治療はこちら

治療メニュー、費用、
他院との違いについて

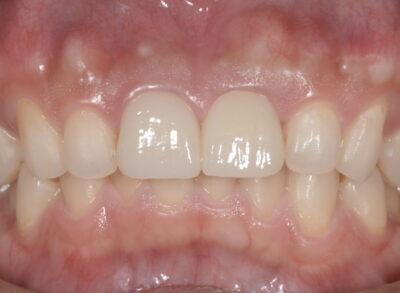
HAMADA DENTAL CLINIC 当院はチーム医療で世界基準の先端治療を提供する初台の歯医者です。他院で「治療不可」「抜歯」「抜髄」と診断された難症例の患者様を数多く受け入れています。
WORRIES AND SYMPTOMS

重度の虫歯や歯周病はもちろん、歯並び・歯の形や色など見た目の悩みにも対応できる歯医者です。多様な先端治療であらゆるお悩み・症状に対応します。

解消できる
悩み・症状一覧

  • 抜歯したくない
  • 歯がグラグラする
  • 歯が欠けた/折れた
  • 神経を抜きたくない
  • 根っこの治療が終わらない
  • 歯茎が腫れる/出血する
  • 歯周病が治らない
  • 差し歯の色が合わない
  • 差し歯を入れた歯茎が黒い
  • 被せ物・詰め物が取れた
  • 銀歯を白くしたい
  • 歯を白くしたい
  • 歯の形が気に入らない
  • 矯正したい
悩み別に治療法を知る
MESSAGE

その抜歯、
ちょっと待ってください

「この歯はもうダメですね」
「抜いてインプラントにするしかないですね」

虫歯や歯周病がひどくなって、
歯がボロボロ、グラグラになってしまい、
どうしようか、悩んで、悩んで、
思い切って相談に行った歯医者で、
「抜くしかない」と診断され、
あなたは今、途方に暮れていないでしょうか。

医師の診断に納得できず、
納得できないというより受け入れられず、
「抜歯以外の方法は本当にないんだろうか…」と、より良い治療を探し求めていらっしゃるなら…

その抜歯、ちょっと待ってください。

私たちなら、
その歯を残すことができるかもしれません。

私たちは温存治療の
スペシャリストです

私たちの歯医者には、あなたのように他院で抜歯と診断された患者様がたくさんいらっしゃっています。
本当に抜歯するしかないことももちろんありますが、「これならまだ歯を残せる!!」という方がたくさんいらっしゃることも事実です。

私たちは温存治療のスペシャリストです。
虫歯の最終形態、難治性根尖性歯周炎から歯を救う「歯根端切除術」や、グラグラの重度歯周病を改善する「歯周組織再生治療」など、世界基準の先進医療を日々実践しています。

「歯を抜きたくない」
「神経を抜きたくない」
「できることなら見た目を元通りにしたい…」

そんな切実な願いをできる限り叶えられるようにベストを尽くします。お悩みならぜひ相談にいらしてください。

成功率が低い治療も
提案します

私たちはあなたの切実な悩みを知っています。

「限界まで歯を抜きたくない」
「限界まで神経を抜きたくない」

そんな、何が何でも抜歯や抜髄に抗いたい強い願いがあることも知っています。
私たちはその気持ちを最大限に尊重します。

歯科治療は、やってみないとどうなるかわからないことも多々あります。
成功率は低いかもしれないけど、もしかしたらうまくいくかもしれないという治療も多いのです。

私たちはそんな成功確率が低い治療も臆せず提案します。
わずかでも可能性があるのであれば、たとえそれが短期間でダメになるかもしれない治療であったとしても必ずご提案します。

そしてそのわずかな可能性に賭けるのか、
あるいはより再治療になる確率が低い治療を選択するのか、
あなたに寄り添って、
あなたと一緒に考えることを約束します。

世界基準の技術を携え診療に臨み、
あらゆる選択肢を提示して患者様と一緒に診療方針を決める。
そんな診療をこれからも貫いていきます。

ご予約
治療モニター募集
マウスピース矯正
最大¥100,000OFF
院長
Dr. 濱田