
矯正できる歯並びと
矯正後のイメージ
矯正できる歯並び一覧
一般的な不正咬合タイプなら、どれでも矯正可能です
以下アイコンで記した“一般的な不正咬合タイプ”であれば、どのタイプであっても一定の矯正は可能です。(よりよい状態にするために外科治療を併用することが望ましい場合もあります。)
ご自身のタイプを選びアイコンをタップしてください。
どのような歯並びを、どの程度改善できるかイメージを確認いただけます。
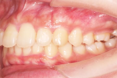
ガタガタ・八重歯

ガタガタ歯並びは叢生(そうせい)、乱杭歯(らんくいば)と呼ばれ、歯列のスペース不足によって生じる不正咬合です。八重歯も叢生の一種です。
ガタガタ歯並びや八重歯は、矯正治療で症状を改善することができます。
-
ガタガタ・八重歯 症例
- 矯正装置:
- マウスピース矯正
- プラン
と料金: - ライトプラン
448,000円(税込) - 治療期間:
- 6か月
- 通院回数:
- 5~10回
費用補足:プラン料金のほかに、初診料3,850円、事前シミュレーション料18,500円、定期チェック料1,100円(契約後来院時都度)、処置料5,500円(必要に応じて)を頂戴します。
リスク:マウスピースの装着による不快感や痛み、歯根吸収などの副作用が生じる場合があります。また、矯正後に後戻り(歯が元の位置に戻ってしまうこと)があります。 -
-
ガタガタ・八重歯 症例
- 矯正装置:
- マウスピース矯正
- プラン
と料金: - スタンダードプラン
598,000円(税込) - 治療期間:
- 12か月
- 通院回数:
- 15~20回
費用補足:プラン料金のほかに、初診料3,850円、事前シミュレーション料18,500円、定期チェック料1,100円(契約後来院時都度)、処置料5,500円(必要に応じて)を頂戴します。
リスク:マウスピースの装着による不快感や痛み、歯根吸収などの副作用が生じる場合があります。また、矯正後に後戻り(歯が元の位置に戻ってしまうこと)があります。 -
-
ガタガタ・八重歯 症例
- 矯正装置:
- マウスピース矯正
- プラン
と料金: - スタンダードプラン
598,000円(税込) - 治療期間:
- 12か月
- 通院回数:
- 15~20回
費用補足:プラン料金のほかに、初診料3,850円、事前シミュレーション料18,500円、定期チェック料1,100円(契約後来院時都度)、処置料5,500円(必要に応じて)を頂戴します。
リスク:マウスピースの装着による不快感や痛み、歯根吸収などの副作用が生じる場合があります。また、矯正後に後戻り(歯が元の位置に戻ってしまうこと)があります。 -
-
ガタガタ・八重歯 症例
- 矯正装置:
- ワイヤー矯正
(メタルブラケット) - プラン
と料金: - メタルブラケットプラン
880,000円(税込) - 治療期間:
- 2年
- 通院回数:
- 26~36回
費用補足:プラン料金のほかに、初診料5,500円、検査・診断料44,000円、定期チェック料3,300円(契約後来院時都度)、処置料5,500円(必要に応じて)を頂戴します。
リスク:ワイヤーの装着による不快感や痛み、口内炎、歯根吸収などの副作用が生じる場合があります。また、矯正後に後戻り(歯が元の位置に戻ってしまうこと)があります。 -
ガタガタ・八重歯 症例
- 矯正装置:
- ワイヤー矯正
(メタルブラケット) - プラン
と料金: - メタルブラケットプラン
880,000円(税込) - 治療期間:
- 2年
- 通院回数:
- 26~36回
費用補足:プラン料金のほかに、初診料5,500円、検査・診断料44,000円、定期チェック料3,300円(契約後来院時都度)、処置料5,500円(必要に応じて)を頂戴します。
リスク:ワイヤーの装着による不快感や痛み、口内炎、歯根吸収などの副作用が生じる場合があります。また、矯正後に後戻り(歯が元の位置に戻ってしまうこと)があります。
出っ歯

出っ歯の原因はさまざまです。遺伝や悪習慣(舌で押す、指しゃぶり、詰め噛みなど)、歯列スペースの不足など、様々な要因で発症します。出っ歯は医学用語で「上顎前突(じょうがくぜんとつ)」といいます。
出っ歯は矯正治療で症状を改善することができます。
-
出っ歯 症例
- 矯正装置:
- マウスピース矯正
- プラン
と料金: - スタンダードプラン
598,000円(税込) - 治療期間:
- 12か月
- 通院回数:
- 15~20回
費用補足:プラン料金のほかに、初診料3,850円、事前シミュレーション料18,500円、定期チェック料1,100円(契約後来院時都度)、処置料5,500円(必要に応じて)を頂戴します。
リスク:マウスピースの装着による不快感や痛み、歯根吸収などの副作用が生じる場合があります。また、矯正後に後戻り(歯が元の位置に戻ってしまうこと)があります。 -
-
出っ歯 症例
- 矯正装置:
- マウスピース矯正
- プラン
と料金: - ミディアムプラン
738,000円(税込) - 治療期間:
- 24か月
- 通院回数:
- 25~30回
費用補足:プラン料金のほかに、初診料3,850円、事前シミュレーション料18,500円、定期チェック料1,100円(契約後来院時都度)、処置料5,500円(必要に応じて)を頂戴します。
リスク:マウスピースの装着による不快感や痛み、歯根吸収などの副作用が生じる場合があります。また、矯正後に後戻り(歯が元の位置に戻ってしまうこと)があります。 -
すきっ歯

すきっ歯は、歯と歯の間に隙間がある歯並びです。前歯の間に広く隙間がある状態を正中離開といいます。
すきっ歯は、顎の大きさに対して歯が小さいときや、歯の本数が不足しているときにおこりやすい歯並びです。
すきっ歯は矯正可能で、比較的容易に改善効果が得られる歯並びです。
-
すきっ歯 症例
- 矯正装置:
- マウスピース矯正
- プラン
と料金: - スタンダードプラン
598,000円(税込) - 治療期間:
- 12か月
- 通院回数:
- 15~20回
費用補足:プラン料金のほかに、初診料3,850円、事前シミュレーション料18,500円、定期チェック料1,100円(契約後来院時都度)、処置料5,500円(必要に応じて)を頂戴します。
リスク:マウスピースの装着による不快感や痛み、歯根吸収などの副作用が生じる場合があります。また、矯正後に後戻り(歯が元の位置に戻ってしまうこと)があります。 -
-
すきっ歯 症例
- 矯正装置:
- マウスピース矯正
- プラン
と料金: - スタンダードプラン
598,000円(税込) - 治療期間:
- 12か月
- 通院回数:
- 15~20回
費用補足:プラン料金のほかに、初診料3,850円、事前シミュレーション料18,500円、定期チェック料1,100円(契約後来院時都度)、処置料5,500円(必要に応じて)を頂戴します。
リスク:マウスピースの装着による不快感や痛み、歯根吸収などの副作用が生じる場合があります。また、矯正後に後戻り(歯が元の位置に戻ってしまうこと)があります。 -
深い噛み合わせ

過蓋咬合(かがいこうごう)とは、上の前歯が下の前歯を覆うように噛み合っている歯並びのことです。ディープバイトとも呼ばれています。
過蓋咬合は主に遺伝や上下顎の発達不全、悪習慣(口呼吸、舌で歯を押す、指しゃぶりなど)が原因で発症します。
過蓋咬合は矯正治療で症状を改善することができますが、下顎骨が小さすぎる場合は十分に改善できないことがあります。その場合は外科治療が必要です。
-
深い噛み合わせ 症例
- 矯正装置:
- マウスピース矯正
- プラン
と料金: - ミディアムプラン
738,000円(税込) - 治療期間:
- 24か月
- 通院回数:
- 25~30回
費用補足:プラン料金のほかに、初診料3,850円、事前シミュレーション料18,500円、定期チェック料1,100円(契約後来院時都度)、処置料5,500円(必要に応じて)を頂戴します。
リスク:マウスピースの装着による不快感や痛み、歯根吸収などの副作用が生じる場合があります。また、矯正後に後戻り(歯が元の位置に戻ってしまうこと)があります。 -
-
深い噛み合わせ 症例
- 矯正装置:
- マウスピース矯正
- プラン
と料金: - ミディアムプラン
738,000円(税込) - 治療期間:
- 24か月
- 通院回数:
- 25~30回
費用補足:プラン料金のほかに、初診料3,850円、事前シミュレーション料18,500円、定期チェック料1,100円(契約後来院時都度)、処置料5,500円(必要に応じて)を頂戴します。
リスク:マウスピースの装着による不快感や痛み、歯根吸収などの副作用が生じる場合があります。また、矯正後に後戻り(歯が元の位置に戻ってしまうこと)があります。 -
噛み合わせの交叉

交叉咬合(こうさこうごう)とは、上の奥歯が下の奥歯の内側に入ってしまっている歯並びのことです。“歯並びが歯列の途中で交叉(こうさ)している”その様子から、クロスバイトとも呼ばれています。
交叉咬合は、上下の顎の大きさの不一致や、歯の傾斜や悪習慣(舌で歯を押す、片側だけで咀嚼するなど)が原因で発症します。
交叉咬合は、交叉が軽度のものであれば矯正可能です。ただし下顎骨が上顎骨よりも大きすぎる場合は矯正できないことがあります。
前歯が閉じない

前歯がとじない「開咬(かいこう)」とは、上下の歯を噛み合わせたときに、前歯や奥歯の一部が接触せずに隙間ができる歯並びのことです。オープンバイトともいわれています。
開咬は主に遺伝や下顎の発達不全、悪習癖(口呼吸、舌で歯を押す、指しゃぶりなど)が原因で発症します。
開咬は比較的簡単に矯正できる歯並びです。
-
前歯が閉じない 症例
- 矯正装置:
- マウスピース矯正
- プラン
と料金: - スタンダードプラン
598,000円(税込) - 治療期間:
- 12か月
- 通院回数:
- 15~20回
費用補足:プラン料金のほかに、初診料3,850円、事前シミュレーション料18,500円、定期チェック料1,100円(契約後来院時都度)、処置料5,500円(必要に応じて)を頂戴します。
リスク:マウスピースの装着による不快感や痛み、歯根吸収などの副作用が生じる場合があります。また、矯正後に後戻り(歯が元の位置に戻ってしまうこと)があります。 -
中心のズレ

正中偏位(せいちゅうへんい)とは、上下の前歯の中心がズレている歯並びのことです。上の歯だけ/下の歯だけズレることもあれば、上下ともズレることもあります。
正中偏位は、主に“左右の歯の大きさ”が違うときや、左右の歯の生え方が非対称になってしまったときに起こる不正咬合です。
正中偏位は7mm程度までのズレであれば矯正治療で改善することが可能です。ただ、顔面骨格の非対称によって生じたズレは矯正できません。この場合は外科治療が必要です。
前歯がぶつかる

前歯がぶつかる「切端咬合(せったんこうごう)」とは、口を自然に閉じたときに“上下の前歯の先端”がちょうど当たってしまう歯並びのことです。
切端咬合は、主に遺伝や上下の顎の成長バランスの崩れ(下顎だけ発達していたり、上顎だけ発達不全である場合)、悪習癖(口呼吸、舌で歯を押す、指しゃぶりなど)が原因で発症します。
切端咬合は矯正治療によって改善できます。
受け口

受け口(下顎前突)とは、下の前歯が上の前歯よりも前に突き出ている歯並びのことです。受け口は2タイプあり、A.下顎骨そのものが突出しているタイプとB.(下顎骨は突出しておらず)下顎前歯が傾斜して前突しているタイプがあります。
受け口は矯正できるケースとできないケースがあります。下顎前歯が傾斜して前突しているだけのタイプは矯正できますが、下顎骨そのものが突出しているタイプは矯正できないことがあります。
口ゴボ

口ゴボ(上下顎前突)とは、上下両方の前歯部が傾斜して突出し、口元が盛り上がって見える状態の歯並びです。前歯だけが傾斜しているケースと、顎骨そのものが突出しているケースがあります。
主に遺伝やアデノイド肥大(喉の奥にあるアデノイドというリンパ組織が肥大した状態)、悪習癖(口呼吸、舌で歯を押す、下唇や爪を噛むなど)が原因で起こります。
口ゴボは、傾斜・突出した前歯部を引っ込めて症状を改善することはできますが、顎骨そのものを後退させることはできません。

横顔の写真を撮り、鼻先から顎先にかけて線を引いてみてください。
唇の先が線より前に出ていたら、口ゴボの傾向ありです。もし唇が線に軽く触れる程度なら、理想的な横顔です。
なお、唇が軽く線に触れる程度であっても、下顎が後退していると口ゴボに見えやすくなります。
矯正治療の種類と違い
矯正治療は3種類あります。
ワイヤー矯正、マウスピース矯正、セラミック矯正の3つです。
3つはそれぞれメリット・デメリットが異なり、得意な症例も異なります。
次のページでは、これら3つの矯正治療の特徴や違いについて詳しく説明します。
ご自身のライフスタイルや希望に合った矯正治療を選ぶ際の参考にしてください。
八重歯は寿命が短い!
「八重歯はチャームポイント。矯正するのはちょっともったいないかも…」…と、矯正しようかどうしようか悩んでいたりしませんか?
実はその八重歯、放っておくと危険です。わりと若いうちに抜けてしまうかもしれないんです。
なぜ寿命が短いの?
八重歯はとても歯磨きしづらい歯です。しっかり磨いているつもりでも磨けていないことがほとんどで、とても虫歯・歯周病になりやすかったりします。
磨きにくいから歯周病も進行しやすく、歯肉退縮・歯槽骨吸収も他の歯と比べて早いです。そのため高齢になる前に抜けてしまうことが多いのです。
八重歯のおばあちゃん、見たことありますか?
八重歯のおばあちゃんがいないということは、そういうことなんです。