平素よりはまだ歯科医院をご愛顧いただきまして誠にありがとうございます。
患者様は30代女性です。
約2ヶ月前より右上顎小臼歯の根管治療を他院様で行っていましたが、1ヶ所目に通院した歯科医院で既に大部分の歯質が削られ、最終的に抜歯の方針が告げられたためセカンド(サード?)オピニオンにて当院へ受診されました。
歯質は一部菲薄な部分がありましたが保存可能と判断し精密根管治療を施行いたしました。
結果的には外科的歯内療法まで行う必要がありましたが、その後の経過は順調で現在治療後1年が経過しています。
時系列でレントゲン写真をご覧いただきます。
治療前


根管充填後
外科的歯内療法後 術後1年


同じ患者様のパントモ画像です。

下顎小臼歯部にも同様の根尖部透過像を認めました。(白の縁取り部分)
いずれの歯も原因となる虫歯を認めませんが中心結節の破折を認めます。
中心結節は歯の噛み合わせの部分に先天的に出現する突起状の形態です。
中心結節は歯の形態異常の一つとされており主に第二小臼歯に1-4%程度の頻度で出現するといわれています。
(以下画像はインターネットより拝借いたしました)

写真中央の歯に見られる突起です。
この突起は噛む力で折れる場合があり、折れてしまうと歯の神経である歯髄の一部が露出、歯髄は細菌感染を起こし結果的に根尖性歯周炎の原因となります。
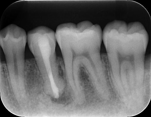
下顎両側小臼歯に対しても精密根管治療を施行いたしました。
治療経過を時系列でご覧いただきます。
右側
治療前


治療直後


治療後4ヶ月


左側
治療前


治療直後


治療後3ヶ月


左側小臼歯は根尖に透過像が残存しておりますので引き続き経過をみてまいります。
治療費
小臼歯 精密根管治療 110,000 (再根管治療130,000円)
コア築造 30,000円
オールセラミッククラウン 100,000円(税別)
治療回数 約4回(根管治療1-2回、オールセラミック治療2回)
治療期間 約1ヶ月