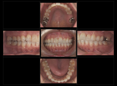
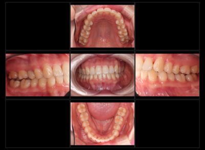
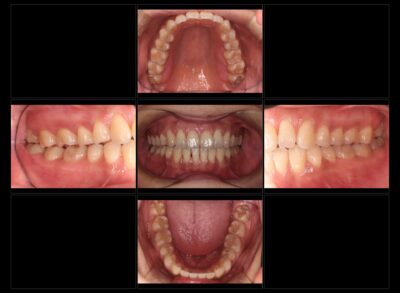
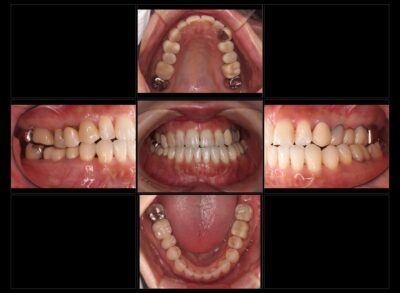
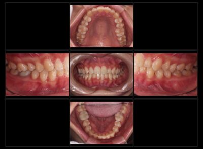
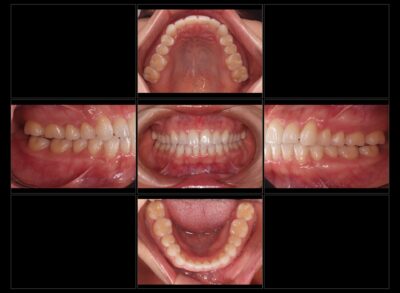
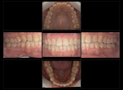
症例紹介
カテゴリで絞り込む
◆当日・翌日のご予約
「お電話」または「当日・翌日専用予約フォーム」からご予約をお願いします。
※お電話が繋がらない場合、休診日あるいは診療時間外の可能性があります。
※当日・翌日専用予約フォームからご予約される場合は「歯の矯正カウンセリング」を選択のうえ、ご予約ください。
◆翌々日以降のご予約
ご希望日時を入力ください。
調整の上、当院より確定日時をご連絡します。
まだ予約は確定していません。
日時の確認・調整のうえ、予約が確定いたします。
ご予約時間の調整のため、当院スタッフからご連絡をさせていただきます。
お手数ですが、ご対応くださいますようお願いいたします。