症例概要
-
症例:40代 女性
-
主訴:前歯の噛み合わせが反対になっているのが気になる
-
診断:前歯部クロスバイト
治療方法
-
使用アライナー:ClearCorrect
-
治療プラン:スタンダードプラン
-
治療期間:約10ヶ月
透明なマウスピース型矯正装置を使用し、
前歯部の噛み合わせ改善を主目的として治療を行いました。
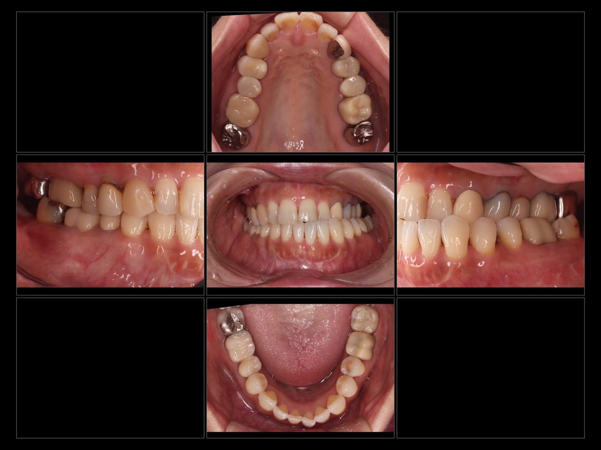
治療前の状態(Before)
-
前歯の噛み合わせが反対(クロスバイト)
-
見た目だけでなく、噛み合わせの違和感もある状態
-
大臼歯部にもクロスバイトがみられる状態でした

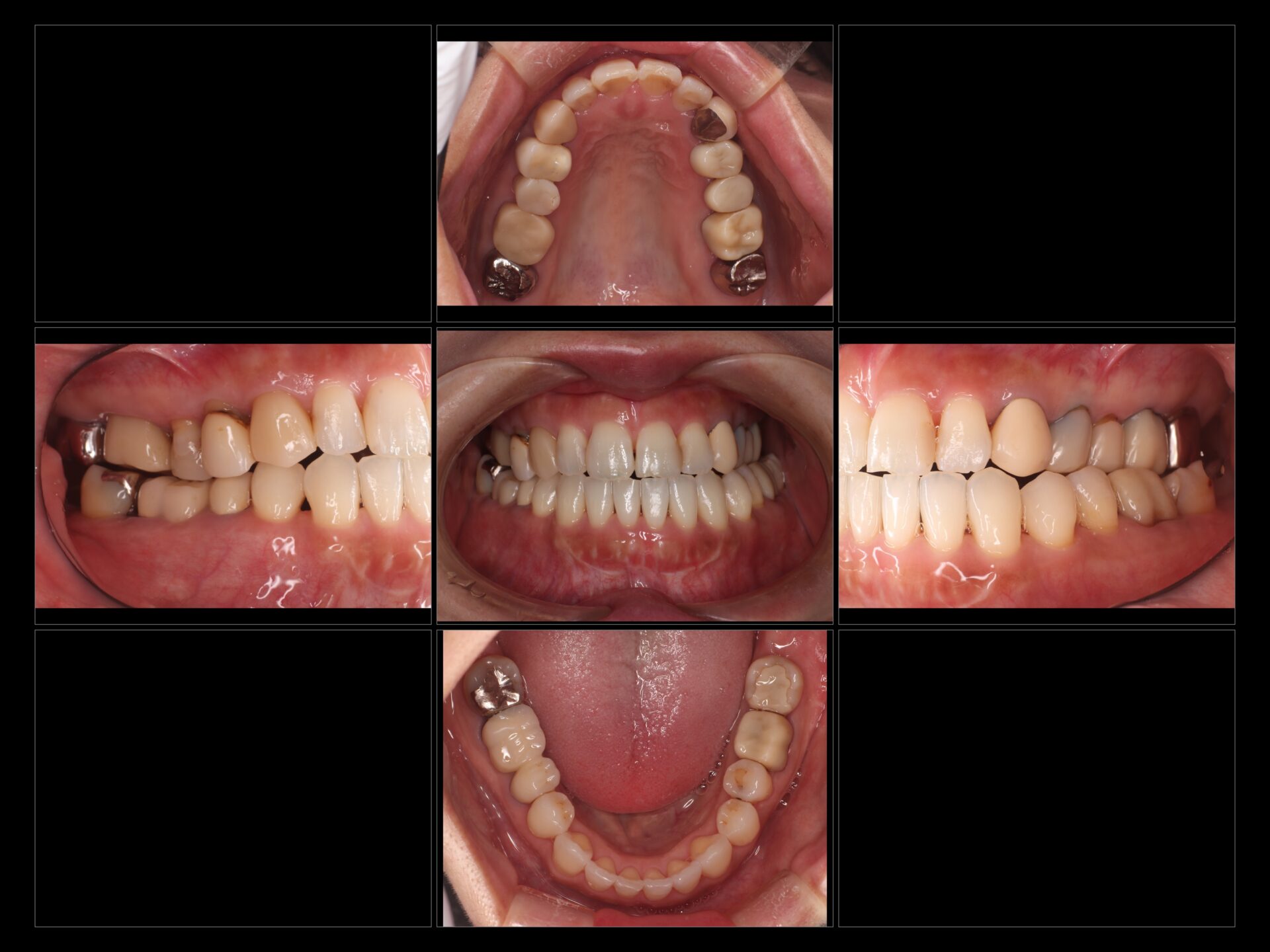
治療後の状態(After)
-
前歯部のクロスバイトが改善
-
前歯での噛み合わせが安定
-
大臼歯部のクロスバイトはあえて改善せず、
前歯部にフォーカスした治療結果となりました

治療の考え方(この症例のポイント)
-
本症例では
「すべてを治す」ことよりも
「患者さんが一番気にしている部分を、短期間で改善する」
ことを重視しました
-
大臼歯部のクロスバイトについては
治療期間・負担を考慮し、今回は対象外としています
-
その結果、
治療期間を抑えながら、患者さんの満足度が高い結果が得られました
👉 このようなニーズも、矯正治療の一つの選択肢と考えています
費用について
-
治療費:598,000円(税込)
※治療範囲・難易度・治療目標により、
治療期間や費用は異なります。
詳しくはカウンセリング時にご説明いたします。
このような方におすすめです
-
前歯のクロスバイトが気になる
-
できるだけ短期間で改善したい
-
すべてを完璧に治すより、
優先順位をつけた治療を希望している
-
目立ちにくい矯正方法を検討している
担当医より
矯正治療は、
「どこまで治すか」「どこを優先するか」によって
治療期間や満足度が大きく変わります。
本症例のように、
患者さんのご希望に合わせた治療ゴール設定も
大切な選択肢の一つです。