1. 症例概要
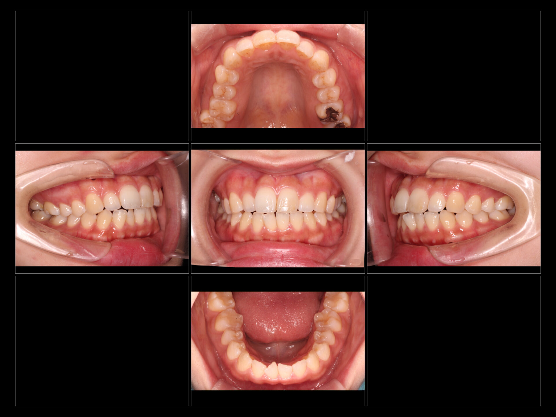
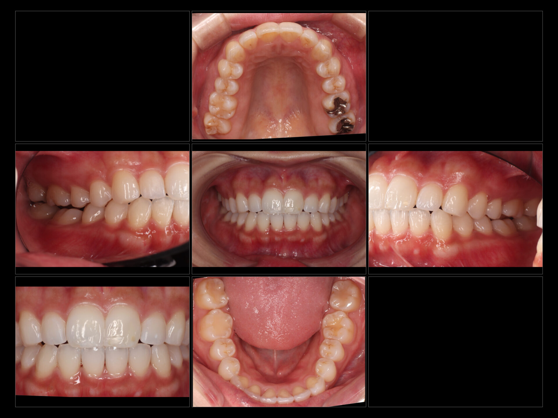
30代女性の患者様です。「歯並びを整えたい」というご希望に加え、「歯の色も白くして、お顔全体の印象を明るくしたい」という審美的なお悩みをお 持ちでした。 マウスピース型矯正(クリアコレクト)による歯列矯正と、ホワイトニングを組み合わせることで、健康的で美しいスマイルラインを実現しました。
2. Before / After(画像)
3. 治療内容・結果
-
歯列矯正: マウスピース型矯正装置を用い、1年という期間でスムーズに歯並びを整えました。
-
ホワイトニング: 矯正治療の進捗に合わせ、ホワイトニングを実施。歯並びだけでなく歯の色調を明るくすることで、治療完了後の満足度がより高まりました。
-
口元の変化: 歯並びが整ったことで、下顔面(口元)のバランスが改善され、より洗練された印象になりました。
4. 治療内容・費用(税込)
-
矯正治療プラン: スタンダードプラン・モニター価格(諸条件がございます)
-
矯正費用: 498,000円
-
ホワイトニング費用: 約50,000円(※施術期間・回数により変動します)
-
治療期間: 1年
-
別途必要な費用:
-
予防プログラム受講費用(唾液検査含む):5,500円
-
5. モニター契約条件
本症例は、以下の条件を遵守いただくモニター契約に基づいたプランです。
-
撮影・発信への協力: 治療前後の画像・動画撮影(顔貌を含む)に協力し、当院のWebサイトやSNS等へ無償利用することへの同意 。
-
口腔衛生の維持: 予防プログラムの受講、および3ヶ月毎の定期メンテナンスの受診義務 。
-
治療計画の遵守: マウスピースを1日22時間以上装着すること 。
-
感想の共有: 指定の口コミサイト等への投稿 。
-
解除・違約金: キャンセル率30%超過や自己都合による中断の場合、通常料金との差額(違約金)が発生します 。
6. 矯正治療のリスク・副作用
-
装着時間を守らない場合、計画通りに歯が動かないことがあります。
-
矯正中、一時的に痛みや違和感、発音のしにくさを感じることがあります。
-
治療後は後戻りを防ぐため、リテーナー(保定装置)の装着が必要です。
-
ホワイトニングにより、一時的に歯がしみる(知覚過敏)症状が出ることがあります。
-
歯の移動に伴い、歯根吸収や歯肉退縮が発生するリスクがあります。



