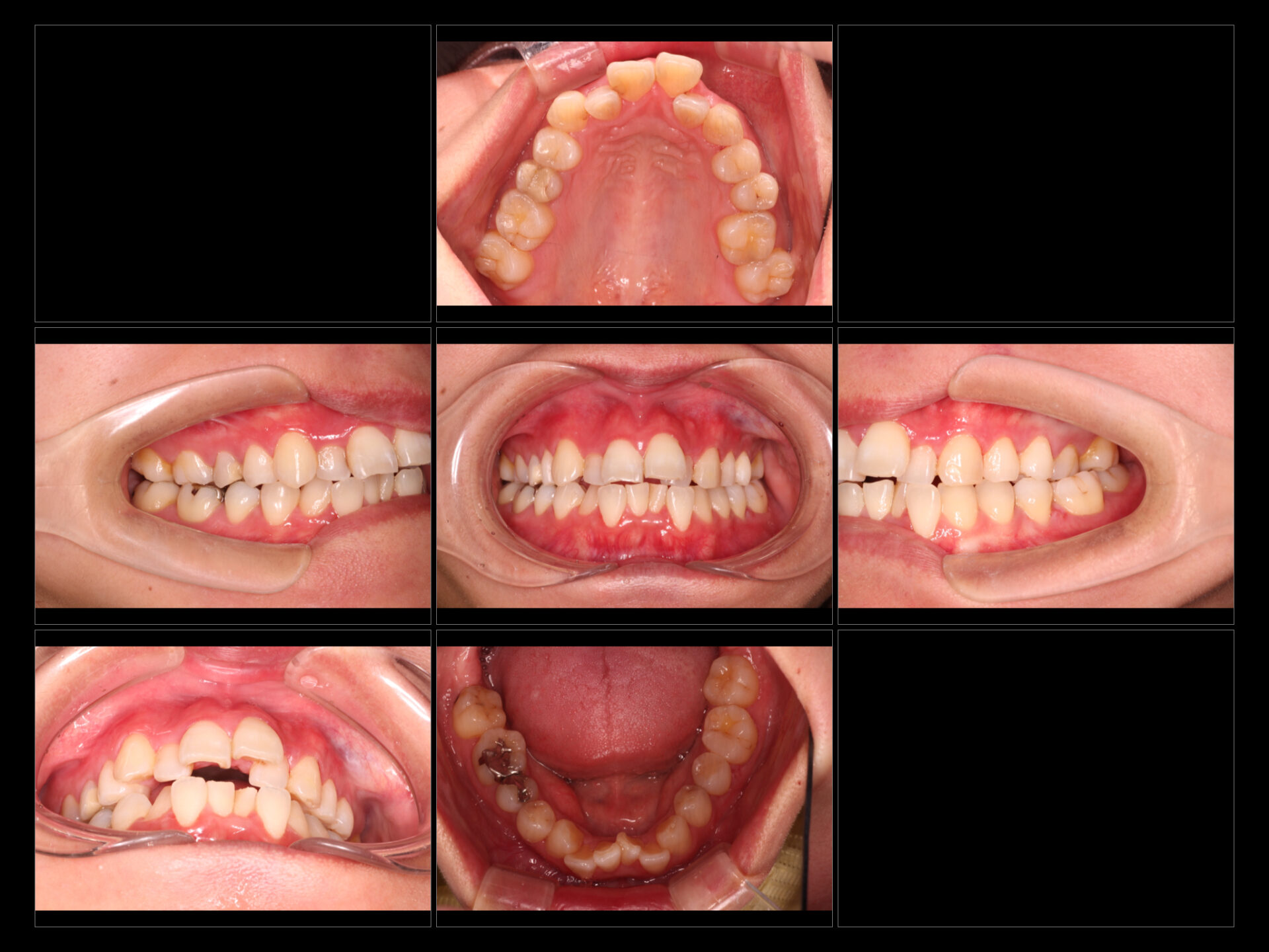
【主訴:歯のガタガタ(叢生)を治したい】
30代の女性の患者様です。「歯並びのガタガタが気になるけれど、健康な歯を抜くのは抵抗がある」というご相談をいただきました。
精密検査の結果、今回は**非抜歯(歯を抜かない方法)**を選択。IPR(歯の表面をわずかに削る処置)とエラスティック(顎間ゴム)を併用することで、歯を動かすスペースを確保し、理想的なアーチを目指す治療計画を立てました。
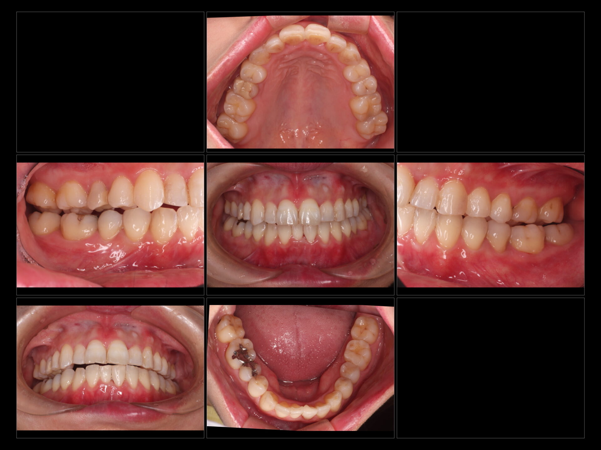
【Before / After 写真】

- Before: 前歯が重なり合い、前歯の前突感が認められます。

・After:重なりがなくなり、前突感も改善され ました。
【症例の概要】
| 項目 | 内容 |
| 年齢・性別 | 30代女性 |
| 治療期間 | 1年10ヶ月(63ステージ) |
| 治療方針 | 非抜歯、IPR(隣接面削合)実施 エラスティック(顎間ゴム)使用 |
| 治療費用 | ミディアムプラン 738,000円(税込) |
【ドクターより】
今回の症例は、非抜歯で進めるためにIPRでコンマ数ミリ単位のスペースを作り、ゴムかけ(エラスティック)を患者様にご協力いただくことで、非常に綺麗に整えることができました。 期間は1年10ヶ月と、抜歯症例に比べてもじっくり時間をかけましたが、ご自身の歯をすべて残した状態でここまでガタガタを解消できたことは、将来的なお口の健康にとっても大きなメリットになります。
【矯正治療に関するリスク・副作用】
(※ガイドライン遵守のため、必ず以下の項目をセットで掲載してください)
-
矯正装置の装着により、痛みや違和感が生じる場合があります。
-
IPRにより、一時的に歯がしみる(知覚過敏)症状が出ることがあります。
-
エラスティック(ゴムかけ)の使用時間により、治療結果や期間に影響が出る場合があります。
-
治療後は歯が元の位置に戻ろうとする「後戻り」を防ぐため、保定装置(リテーナー)の装着が必要です。
-
適切にブラッシングを行わないと、虫歯や歯周病のリスクが高まる可能性があります。