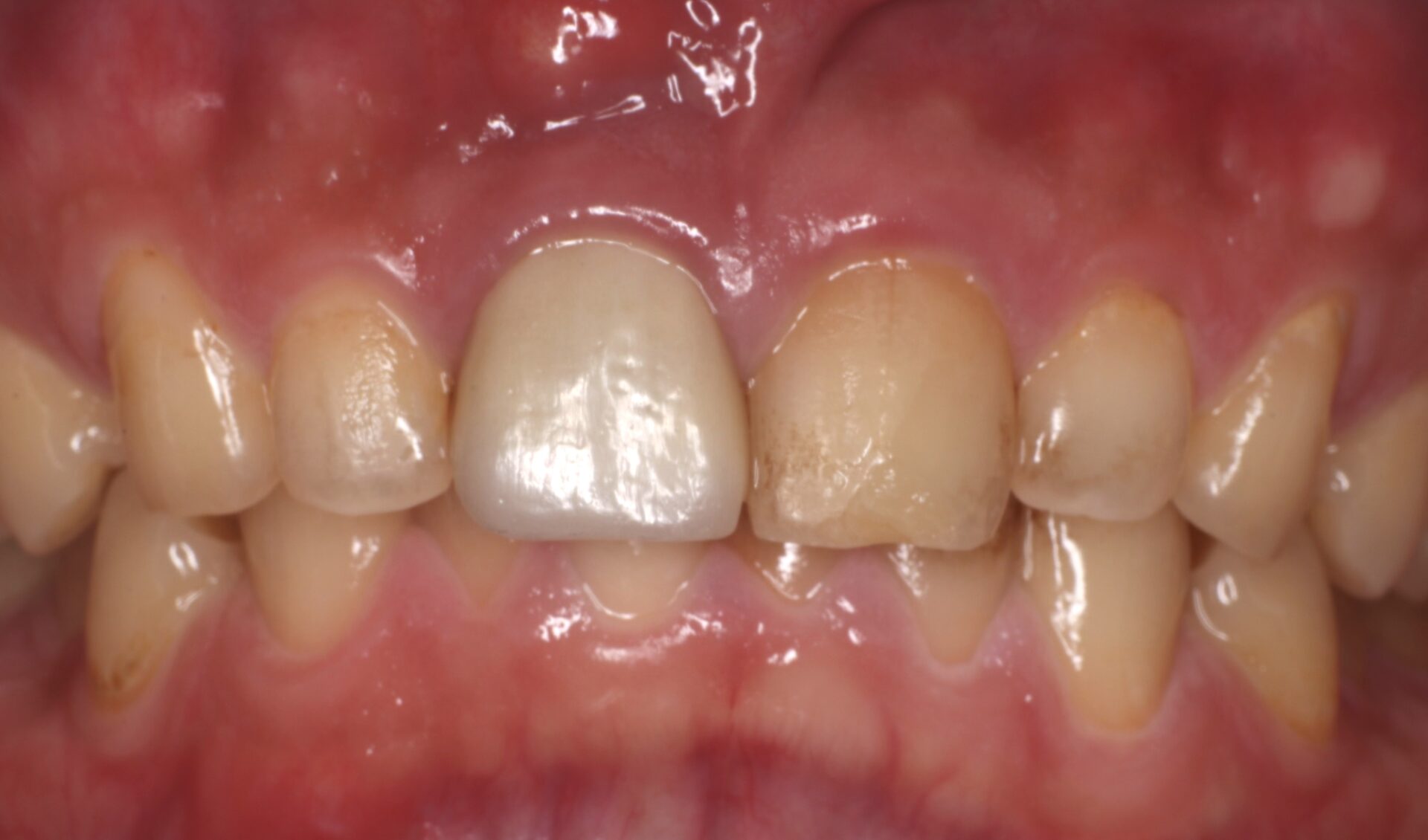
患者様は30代男性の方です。全身的な既往はありません。 右上前歯の痛みを主訴にご来院いただきました。
1. 診断のプロセスと鑑別診断
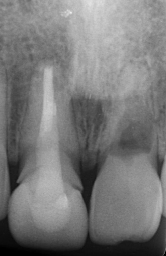
右上顎中切歯にレントゲン所見で僅かですが根尖部に限局した透過像と歯肉の腫れを認めました。


ここで我々が考えるのは、その原因の特定です。
-
根尖性歯周炎由来であれば:根管治療を行うことで治癒に導ける可能性があります。
-
それ以外の疾患であれば:再根管治療を行っても症状の改善は期待できません。
つまり、候補となりうる他の疾患との「鑑別」が重要になります。私が考えた鑑別診断は以下の2点ですが、結果として右上顎中切歯の根尖性歯周炎との診断の下、治療を開始いたしました。
診断の根拠
-
VRF(垂直性歯根破折)との鑑別 レントゲン上で透過像が根尖部に限局している点、垂直性歯周ポケットを認めない点から、積極的に疑う所見がないと判断いたしました。ただしVRFは根尖側からクラックが入ることが多いため、最終的には被せ物を外してマイクロスコープを用い、視診で破折を確認します。(※CTやレントゲンでは完全破折以外は確定診断が難しい場合があります。)
-
隣在歯の根尖性歯周炎の可能性 根尖性歯周炎は、歯髄組織が壊死を起こしているか、過去に根管治療を施行された「失活歯」にしか発症しません。今回の症例では、右上顎側切歯および左上顎中切歯にEPT(電気歯髄診)で生活反応を示したため、消去法で原因歯は過去に根管治療を施行されている「右上顎中切歯」のみとなります。
2. 【参考症例】セカンドオピニオンの重要性
ここで、正確な診断がいかに大切かを示す別の症例を供覧いたします。 レントゲン上では左上顎側切歯の根尖部に大きな透過像を認め、前医では「抜歯してインプラント」と言われていたケースです。

しかし実際に診査診断をしてみると、左上顎側切歯はEPT陽性の「生活歯」でした。つまり、透過像の原因はこの歯ではなかったのです。結果的に左上顎中切歯の再精密根管治療を行うことで透過像の改善を認めました。もし側切歯を抜歯していたら……と思うと、患者様にセカンドオピニオンの発想がなければ大変悲しい結末となっておりました。

3. 偶発的に見つかった「歯根の内部吸収」
本症例において、主訴ではない左上顎中切歯には「歯根の内部吸収」を認めました。レントゲン撮影時に偶発的に見つかった所見です。

歯根吸収は進行して歯質が菲薄化しており、いつ折れてもおかしくない状況でした。内部吸収は根管治療で進行を止められる可能性がありますが、失われた歯質は回復しません。残存歯質量の少なさから、保存的治療は困難と判断し、患者様にご説明いたしました。 (※永久歯の歯根吸収は原因不明なことも多いですが、お話を伺う限り、過去の外傷を起因とするものと推察されました。)
4. 治療方針と結果
診断に基づき、以下の治療を施行いたしました。
-
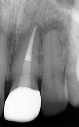
右上顎中切歯:精密根管治療後にセラミッククラウンによる補綴処置
-
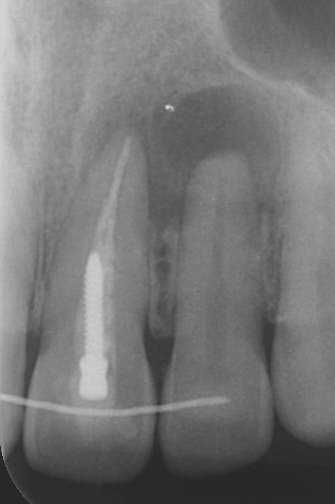
左上顎中切歯:抜歯即時埋入・即時負荷によるインプラント埋入、CTG(結合組織移植術)、セラミッククラウンによる上部構造
前歯部インプラントにおける当院のこだわり
前歯は抜歯をすることで、歯根からの血流供給を受ける束状骨が必ず吸収し、唇側のボリュームが失われます。良好な審美性を維持するため、当院では陥没する歯肉を補うCTG(結合組織移植)を基本的にルーティンで行っています。

こちらは患者様のご希望でCTGを施行しなかった症例です。機能上は全く問題なく4年経過していますが天然歯である右側に比べるとインプラントである左側は歯肉が痩せているのが分かります。
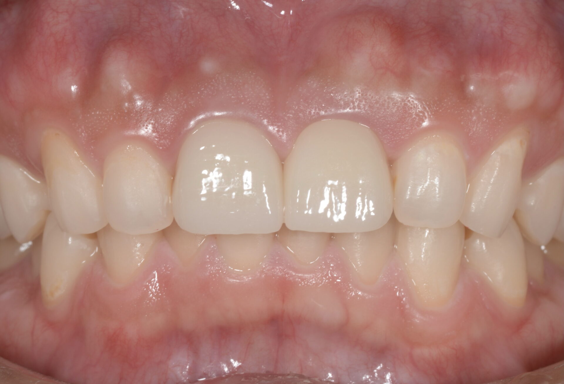
治療後の経過
治療前後の写真です。ホワイトニングも行い、口腔内全体が明るい印象になりました。 レントゲンでは、右上顎中切歯の透過像は縮小しており、根尖性歯周炎は治癒傾向にあります。


患者様の熱心な口腔衛生環境の維持にも助けられ、スムーズな治療経過を辿ることができました。
今回の症例に関する治療費(税込)
-
再精密根管治療(前歯):143,000円
-
ファイバーコア築造:33,000円
-
レイヤリングセラミッククラウン:220,000円
-
インプラント埋入:275,000円
-
前歯加算:110,000円 (※抜歯即時埋入、即時負荷用プロビジョナルレストレーション製作、およびガイデッドサージェリー費用を含みます)
-
CTG(結合組織移植術):55,000円
-
インプラント上部構造(レイヤリングセラミッククラウン):220,000円
歯科治療に伴う一般的なリスク・副作用について
医療広告ガイドラインに基づき、主なリスク・副作用を記載いたします。
-
精密根管治療:根管内の状態により必ずしも成功するとは限らず、抜歯が必要になる場合があります。治療中・後に一時的な痛みや腫れが生じることがあります。
-
セラミック治療:過度な咬合圧によりセラミックが欠けたり割れたりすることがあります。
-
インプラント治療:術後に痛み、腫れ、出血が生じることがあります。即時負荷(仮歯装着)は骨質等の条件を満たした場合にのみ可能であり、状態によっては後日の装着となります。将来的にインプラント周囲炎等で脱落するリスクがあります。
-
結合組織移植術(CTG):採取部位と移植部位に痛みや腫れが生じます。組織が一部生着しない場合があります。
-
ホワイトニング:一時的に歯がしみる症状が出ることがあります。効果には個人差があり、将来的に色の後戻りが生じます。
根尖性歯周炎や前歯部のインプラントでお悩みの患者様は、ぜひ一度当院のセカンドオピニオン外来を受診されてください。 最後までお読みいただき、誠にありがとうございました。