「根の先の膿が大きいので、この歯は治りません。抜歯してインプラントにしましょう」
前医でそう告げられ、セカンドオピニオンを求めて当院に来られる患者様は少なからずいらっしゃいます。
しかし、はっきり申し上げます。
「病変が大きい=抜歯」というのは、多くの場合、歯科医師側のバイアス(偏見)もしくは知識不足によるものです。
1. 「根の膿」は結果であって、原因ではない
根の先に溜まった膿(根尖病変)は、あくまで根管内の細菌感染の結果として現れているものです。原因である細菌さえしっかり除去できれば、体は自然と治癒に向かいます。
確かに、病変の大きさによって成功率に差はありますが、専門医の治療(Endodontics)におけるデータを見てみましょう。

このように、5mmを超える大きな病変であっても、**7割以上は通常の根管治療で治癒に導けます。さらに、外科的歯内療法(歯根端切除術)まで含めれば、その成功率は95%**にまで跳ね上がります。
2. 治療のゴールは「治る」ことではなく「長持ちする」こと
ここで、非常に重要な視点をお話しします。それは、単に「膿が消える(治癒する)」ことと、その歯が「その後どれくらい持つか(Longevity:長期維持性)」は別問題だということです。
当院では、専門医による根管治療から精密なセラミッククラウンの装着まで、自由診療で約35万円〜(ゴールドなら45万円程度)を頂戴しています。ここで問われるのが費用対効果です。
「35万円で3年、歯の寿命が延びた」
それを「納得できる」と感じるか「短い」と感じるかは、患者様の価値観によります。しかし、プロの視点では、3年でダメになる治療は Longevity が低いと言わざるを得ません。
3. 歯の寿命(Longevity)を決める「5つの因子」
我々が抜歯か保存かを判断する際、根の膿の大きさ以上に重視しているのは以下の5点です。
-
歯周病の進行度: 咬合に耐えうるだけの支持歯槽骨があるか?もしくは歯周再生療法の適応があるか?
-
残存歯質量: 虫歯を全て取り除いた後、どれだけ歯が残るか。
-
フェルールの確保: 歯肉の上に健全な歯質が確保できているか。
-
歯冠・歯根比: 処置をした後も、土台と根のバランス(1:1)が保てるか。
-
根管の状態: 過去の治療で根の中が削られすぎて(過剰拡大)、薄くなっていないか。
「治療が終わった時点で、どれだけ健全な歯と支えとなる歯根の長さが残っているか」。これが Longevity(歯の寿命)を左右する非常に大きな要素となります。
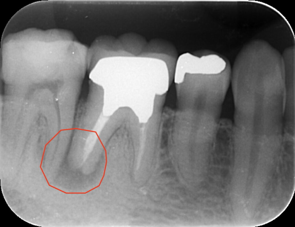
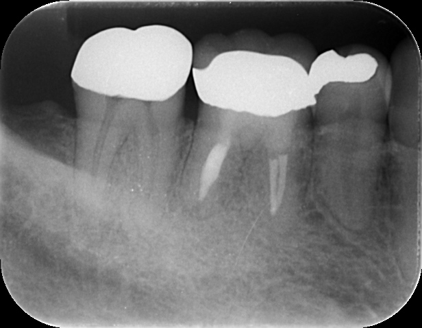
【症例紹介】大きな根尖病変から10年の経過
当院で実際に治療を行い、10年近く良好な経過を辿っている症例をご紹介します。
-
初診時の状況:

前医で「骨が溶けているので抜歯しかない」と診断されたケースです。根の先には大きな黒い影(透過像)が確認できます。確かに根尖病変は比較的大きいですが歯質が残っている今回の症例は「長持ち(Longevity)させられる」と当院では判断しました。


- 10年後の経過:
精密な根管治療を行い、数ヶ月後には骨が再生。10年経った現在も、何でも美味しく噛める状態を維持しています。病変の大きさは、歯の寿命を決める決定打ではありません。
ご紹介した症例のように、たとえ「抜歯」と言われた歯であっても、精密な診断と適切な処置によって、その後の人生を共に歩むパートナーとして残せることが多々あります。
一方で、どんなに手を尽くしても歯が長持ちする可能性が極めて低いと判断せざるを得ない歯があるのも事実です。
無理に延命を試みた結果、大切な骨を失い、その後のインプラント治療をより困難にしてしまうケースも少なくありません。「残せる可能性」を追求することと、将来を見据えて「適切なタイミングでインプラントへ置換する」こと。この両輪の視点があってこそ、真に患者様の健康を守れるのだと私たちは考えています。
「一生自分の歯で噛む」という価値を大切にしながらも、10年、20年先を見据えた最善の選択肢を共に探っていきましょう。もし今の診断に迷いを感じているのであれば、一度当院にご相談ください。